Mòn răng: Nguyên nhân, dấu hiệu và cách điều trị hiệu quả

Mòn răng

Mòn răng là một trong những bệnh lý răng miệng phổ biến, ảnh hưởng trực tiếp đến chức năng nhai, thẩm mỹ và sức khỏe tổng quát. Tình trạng này thường tiến triển chậm, khó nhận biết ở giai đoạn đầu nhưng nếu không được điều trị kịp thời có thể dẫn đến ê buốt kéo dài, sâu răng, thậm chí mất răng. Trong bài viết này, Nha khoa Win Dental sẽ giúp bạn hiểu rõ nguyên nhân gây mòn răng, các dấu hiệu nhận biết cũng như phương pháp điều trị hiện đại để bảo vệ nụ cười khỏe đẹp lâu dài.

Mòn răng: Nguyên nhân, dấu hiệu và cách điều trị hiệu quả
Mòn răng: Nguyên nhân, dấu hiệu và cách điều trị hiệu quả

Mòn răng là gì?

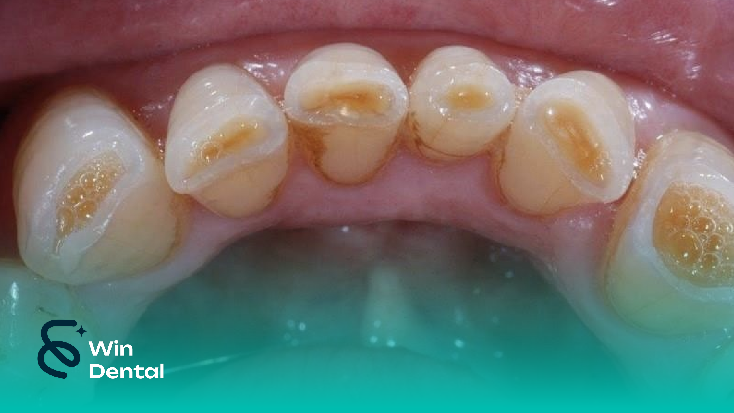
Mòn răng là tình trạng mất đi một phần mô cứng ở răng, bao gồm men răng và ngà răng, do các tác động cơ học hoặc hóa học. Khi lớp men bảo vệ bên ngoài bị bào mòn, ngà răng lộ ra khiến răng trở nên nhạy cảm hơn trước các tác nhân từ môi trường như nóng, lạnh, chua, ngọt. Về lâu dài, mòn răng không chỉ gây ê buốt khó chịu mà còn ảnh hưởng đến thẩm mỹ, khả năng ăn nhai và tăng nguy cơ mắc các bệnh lý nha chu, viêm tủy. Đây là một bệnh lý âm thầm nhưng tiến triển dai dẳng, nếu không được phát hiện và xử lý sớm sẽ để lại hậu quả khó lường.

Nguyên nhân gây mòn răng

Có nhiều yếu tố dẫn đến tình trạng mòn răng, trong đó phổ biến nhất là:

  • Chải răng sai cách: Khi bạn chải răng quá mạnh hoặc sử dụng bàn chải có lông cứng, ma sát lặp đi lặp lại sẽ bào mòn dần men răng ở cổ răng. Đây là nguyên nhân thường gặp ở người có thói quen vệ sinh răng miệng quá kỹ.

  • Nghiến răng: Nghiến răng khi ngủ hoặc khi căng thẳng làm tăng áp lực lên răng, khiến mặt nhai bị mòn nhanh chóng, thậm chí gây nứt vỡ răng.

  • Axit từ thực phẩm và đồ uống: Các loại nước ngọt có gas, nước chanh, rượu vang, thực phẩm chua chứa nhiều axit làm mềm men răng, tạo điều kiện cho quá trình mài mòn diễn ra nhanh hơn.

  • Tuổi tác: Khi tuổi càng cao, men răng càng bị mòn dần theo thời gian do quá trình nhai và tiếp xúc với axit trong thức ăn.

  • Các yếu tố khác: Một số bệnh lý như trào ngược dạ dày – thực quản, rối loạn tiết nước bọt, hoặc môi trường làm việc tiếp xúc với hóa chất cũng có thể góp phần gây mòn răng.

Như vậy, mòn răng là kết quả của sự kết hợp nhiều yếu tố, trong đó thói quen hàng ngày đóng vai trò quan trọng.

Triệu chứng nhận biết mòn răng

Mòn răng thường tiến triển âm thầm theo thời gian, vì vậy trong giai đoạn đầu nhiều người thường không nhận ra sự thay đổi cho đến khi răng đã bị tổn thương rõ rệt. Dấu hiệu dễ nhận biết nhất là hiện tượng ê buốt răng, đặc biệt khi ăn uống đồ nóng, lạnh, chua hoặc ngọt. Điều này xảy ra do lớp men bảo vệ bên ngoài đã bị mòn đi, làm lộ lớp ngà răng bên trong với hệ thống ống ngà nhạy cảm, khiến răng dễ phản ứng với các kích thích từ bên ngoài. 

Ngoài ra, người bị mòn răng có thể nhận thấy bề mặt răng trở nên nhẵn bóng bất thường, nhất là ở vùng mặt nhai hoặc cổ răng, kèm theo sự thay đổi màu sắc răng. Răng thường ngả vàng hơn do ngà răng bên dưới lộ ra, gây mất thẩm mỹ khi cười hoặc giao tiếp. Ở những trường hợp mòn răng nặng, răng có thể trở nên ngắn lại, mẻ cạnh cắn hoặc hình dáng răng thay đổi, khiến việc nhai cắn trở nên khó khăn. Nướu quanh răng đôi khi cũng có thể bị tụt nhẹ do ảnh hưởng từ việc chải răng sai cách, làm lộ thêm phần chân răng. 

Một số người còn xuất hiện tình trạng răng trở nên “cao hơn” bình thường khi chạm khớp cắn, gây cảm giác khó chịu và đau nhức hàm. Nếu mòn răng kéo dài, không chỉ gây ê buốt mà còn làm tăng nguy cơ sâu răng, viêm tủy hoặc nứt vỡ răng do cấu trúc răng ngày càng suy yếu. Đặc biệt, những bệnh nhân có thói quen nghiến răng thường nhận thấy sự mòn răng rõ rệt trên nhiều răng cùng lúc, kèm theo đau hàm, căng cơ mặt, thậm chí nhức đầu sau khi ngủ dậy. Chính vì vậy, việc nhận biết sớm các triệu chứng mòn răng có ý nghĩa rất quan trọng, giúp người bệnh chủ động thăm khám nha khoa kịp thời để ngăn chặn những hậu quả nghiêm trọng có thể xảy ra.

Mòn răng có nguy hiểm không?

Mòn răng không chỉ là vấn đề thẩm mỹ mà còn ảnh hưởng nghiêm trọng đến sức khỏe răng miệng nếu không được điều trị đúng cách. Khi men răng mất đi, ngà răng lộ ra dễ dẫn đến ê buốt kéo dài, gây khó khăn trong ăn uống. Ngoài ra, mòn răng còn tạo điều kiện thuận lợi cho vi khuẩn xâm nhập, làm tăng nguy cơ sâu răng và viêm tủy. Ở những trường hợp nặng, răng có thể bị mất cấu trúc nâng đỡ, trở nên lung lay và gãy rụng. Đặc biệt, mòn răng ở vùng răng cửa sẽ khiến nụ cười kém duyên, ảnh hưởng đến sự tự tin trong giao tiếp và chất lượng cuộc sống.

Mòn răng: Nguyên nhân, dấu hiệu và cách điều trị hiệu quả
Mòn răng: Nguyên nhân, dấu hiệu và cách điều trị hiệu quả

Chẩn đoán mòn răng tại nha khoa

Tại Nha khoa Win Dental, quá trình chẩn đoán mòn răng được thực hiện kỹ lưỡng bởi đội ngũ bác sĩ chuyên khoa với sự hỗ trợ của công nghệ hiện đại. Bác sĩ sẽ thăm khám trực tiếp, kết hợp chụp phim X-quang và scan răng kỹ thuật số để đánh giá mức độ mòn răng, xác định nguyên nhân cụ thể. Từ đó, kế hoạch điều trị được xây dựng cá nhân hóa cho từng khách hàng, đảm bảo hiệu quả và lâu dài.

Cách điều trị mòn răng hiệu quả

Phương pháp điều trị mòn răng phụ thuộc vào mức độ tổn thương:

  • Trường hợp nhẹ: Bác sĩ có thể chỉ định fluor, kem chống ê buốt hoặc trám răng bằng vật liệu thẩm mỹ để bảo vệ ngà răng.

  • Trường hợp trung bình: Sử dụng miếng dán bảo vệ răng, chỉnh khớp cắn hoặc máng chống nghiến răng để hạn chế tình trạng mài mòn.

  • Trường hợp nặng: Răng bị mòn nhiều, sứt mẻ sẽ được phục hình bằng phương pháp bọc răng sứ hoặc dán sứ veneer. Đây là giải pháp giúp phục hồi cả chức năng ăn nhai lẫn tính thẩm mỹ.

Đặc biệt, tại Win Dental, tất cả ca điều trị đều được thực hiện trong môi trường vô trùng tuyệt đối, ứng dụng công nghệ số hóa 3D và thiết kế nụ cười hiện đại, mang lại kết quả bền vững cho khách hàng.

Cách phòng ngừa mòn răng

Phòng bệnh hơn chữa bệnh – để hạn chế tình trạng mòn răng, bạn nên:

  • Chải răng đúng cách, sử dụng bàn chải lông mềm và không chải quá mạnh.

  • Hạn chế đồ uống có gas, nước chua, thực phẩm chứa nhiều axit.

  • Sử dụng ống hút khi uống nước chua hoặc ngọt để giảm tiếp xúc axit với răng.

  • Điều trị sớm chứng nghiến răng bằng máng chống nghiến.

  • Khám răng định kỳ 6 tháng/lần tại nha khoa uy tín để phát hiện sớm dấu hiệu mòn răng.

Điều trị mòn răng tại Win Dental – Giải pháp an toàn và hiệu quả

Với hơn một thập kỷ đồng hành cùng nụ cười Việt, Win Dental là địa chỉ nha khoa uy tín trong điều trị các bệnh lý răng miệng, trong đó có mòn răng. Chúng tôi sở hữu đội ngũ bác sĩ giàu kinh nghiệm, ứng dụng công nghệ hiện đại như scan răng 3D, thiết kế nụ cười kỹ thuật số DSD và hệ thống labo chế tác sứ chuyên nghiệp. Khách hàng hoàn toàn yên tâm với chế độ bảo hành minh bạch và chính sách hỗ trợ trả góp 0%. Win Dental cam kết mang lại cho bạn hàm răng khỏe đẹp, phục hồi chức năng ăn nhai và tự tin trong giao tiếp.

Mòn răng: Nguyên nhân, dấu hiệu và cách điều trị hiệu quả
Mòn răng: Nguyên nhân, dấu hiệu và cách điều trị hiệu quả

Kết luận

Mòn răng là bệnh lý răng miệng phổ biến, thường bị bỏ qua ở giai đoạn đầu nhưng có thể dẫn đến nhiều biến chứng nguy hiểm nếu không điều trị kịp thời. Việc nhận biết sớm nguyên nhân, triệu chứng và lựa chọn giải pháp điều trị phù hợp sẽ giúp bảo vệ răng chắc khỏe lâu dài. Nếu bạn đang gặp tình trạng ê buốt, mòn răng hoặc muốn kiểm tra sức khỏe răng miệng tổng quát, hãy đến ngay Nha khoa Win Dental. Đội ngũ bác sĩ giàu kinh nghiệm cùng công nghệ hiện đại sẽ mang đến cho bạn giải pháp tối ưu, an toàn và hiệu quả.

WIN DENTAL – Địa chỉ điều trị bệnh lý nha khoa uy tín hàng đầu Việt Nam

Hơn 5 năm đồng hành cùng sức khỏe răng miệng người Việt, WIN DENTAL đã khẳng định vị thế là hệ thống nha khoa chất lượng cao chuyên sâu về điều trị bệnh lý răng miệng. Với các cơ sở hiện đại trải dài trên nhiều tỉnh thành, chúng tôi đã tiếp nhận và điều trị thành công hàng chục ngàn ca từ đơn giản đến phức tạp, giúp khách hàng lấy lại nụ cười khỏe mạnh, tự tin và bền vững theo thời gian.

Điểm khác biệt lớn nhất của WIN DENTAL trong lĩnh vực điều trị bệnh lý chính là đội ngũ bác sĩ chuyên khoa giàu kinh nghiệm, được đào tạo bài bản trong và ngoài nước, luôn cập nhật những phác đồ và công nghệ mới nhất từ châu Âu, Mỹ và Hàn Quốc. Tất cả ca điều trị đều được thực hiện trong môi trường vô trùng tuyệt đối, ứng dụng chẩn đoán hình ảnh X-quang kỹ thuật số, máy nội nha hiện đại, công nghệ laser và hệ thống điều trị 3D để đảm bảo độ chính xác, an toàn và hiệu quả tối ưu cho khách hàng.

Mỗi phác đồ điều trị tại Win Dental đều được cá nhân hóa, dựa trên tình trạng răng miệng và nhu cầu của từng khách hàng, nhằm mang lại kết quả bền vững lâu dài và hạn chế tối đa tái phát. Win Dental không chỉ là nơi điều trị bệnh lý răng miệng mà còn là người bạn đồng hành, nâng cao chất lượng cuộc sống và kiến tạo nụ cười tự tin cho hàng ngàn khách hàng mỗi năm.

Thông tin liên hệ: 

Cơ Sở 1: 190 Nguyễn Lương Bằng, Phường Đống Đa, Thành Phố Hà Nội

Cơ Sở 2: 101 Nguyễn Gia Thiều, Phường Kinh Bắc, Tỉnh Bắc Ninh

Cơ Sở 3: 127 Lương Ngọc Quyến, Phường Phan Đình Phùng, Tỉnh Thái Nguyên

Cơ sở 4: 203 Trần Hưng Đạo, Đông Thành, Phường Hoa Lư, Tỉnh Ninh Bình

Cơ Sở 5: 417 Trường Chinh, Phường Quang Trung, Tỉnh Ninh Bình

Cơ Sở 6: Lô C1 Bùi Khắc Nhất, Phường Hạc Thành, Tỉnh Thanh Hóa

Cơ Sở 7: 635 Quang Trung, Tĩnh Gia, Nghi Sơn, Thanh Hóa